I love my Dentist
In der Kölner Innenstadt und in Köln Lindenthal.
Praxis Innenstadt
Praxis Lindenthal
Unser oberstes Gebot ist es, Ihren Zahn zu erhalten. Doch manchmal reicht die Zahnerhaltung leider nicht aus – sei es durch starke Schäden oder umfangreiche Füllungen. In solchen Fällen sorgen wir mit modernem Zahnersatz aus Vollkeramik für Stabilität und Funktionalität für ein ästhetisches Lächeln.
Bei „Die Zahnärzte Köln – Dr. Langenbach & Partner“ profitieren Sie von jahrelanger Erfahrung und höchster Qualität. Dank der engen Zusammenarbeit mit unserem hauseigenen Zahntechnik-Meisterlabor fertigen wir Ihren Zahnersatz exakt nach Ihren Wünschen – mit genauer Farbabstimmung Ihrer natürlichen Zähnen, optimaler Kaufunktion und maximalem Tragekomfort.
Besuchen Sie uns in der Kölner Innenstadt oder in Lindenthal – wir beraten Sie individuell und finden die beste Lösung für Ihr strahlendes Lächeln.
Zahnersatz
in unseren Praxen
Die Behandlung und weitere Informationen
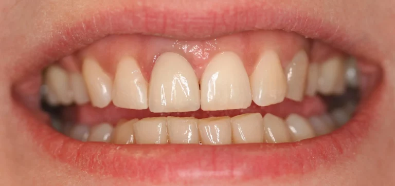
Vollkeramik ist das Material der Wahl, wenn es um einen hochwertigen, bioverträglichen Zahnersatz mit langer Haltbarkeit geht. Kronen und Brücken aus Zirkonoxid-Keramik kommen realer Zahnsubstanz sowohl optisch als auch funktionell so nah, dass sie mit dem bloßen Auge von echten Zähnen so gut wie gar nicht zu unterscheiden sind. Das liegt unter anderem an der Lichtdurchlässigkeit des keramischen Werkstoffs, die es erlaubt das Material sehr differenziert mit Pigmenten einzufärben. Dies ermöglicht es uns ein harmonisches Erscheinungsbild zu erreichen.
Vollkeramik eignet sich sowohl für festsitzenden als auch für herausnehmbaren Zahnersatz und bietet Ihnen ein hohes Maß an Stabilität und Sicherheit. So können Sie dank vollkeramischem Zahnersatz wieder beherzt zubeißen und unbeschwert lächeln.
Für Keramik-Zahnimplantate setzen wir auf das hochwertige und ästhetische Implantatsystem CERALOG.
Zahnersatz
auf einen Blick

Zirkonoxid, bzw. Vollkeramik, hat eine ganze Reihe an Vorteilen:
Mit dieser modernen, lasergestützten CAD/CAM-Technologie ermöglicht unser hauseigenes Zahntechnik-Meisterlabor die Herstellung von keramischem Zahnersatz mit den derzeit optimalen Werkstoffeigenschaften, Passgenauigkeiten und bester Biokompatibilität.
Computer Aided Design (CAD) ist der englische Begriff für rechnergestütztes Konstruieren.
Computer Aided Manufacturing (CAM) steht für rechnergestützte Fertigung.
Langjährige zahntechnische Erfahrung und die Kenntnis bewährter Materialien garantieren auch bei konventionellem Zahnersatz eine hohe Erfolgswahrscheinlichkeit.
Die Zahnärzte unserer Zahnarztpraxen in der Kölner Innenstadt und in Köln Lindenthal betreuen Sie auf dem Weg zu Ihrem Zahnersatz.
Dr. Alexander Langenbach ist geprüfter Spezialist für Implantologie & Implantatprothetik (EDA European Dental Association) und hat die Nachweisprüfung BDIZ Tätigkeitsschwerpunkt Implantologie abgelegt.
Patientenstimmen
Hier finden Sie Antworten auf viele Fragen zum Thema Zahnersatz aus Vollkeramik.
Sollte Ihre Frage nicht dabei sein, nehmen Sie gerne Kontakt zu uns auf.
Für die Herstellung von Zahnimplantaten aus Keramik setzen wir in der Zahnarztpraxis Dr. Langenbach die moderne lasergestützte CAD/CAM-Technologie ein. CAD (Computer Aided Design) und CAM (Computer Aided Manufacturing) bezeichnen die computergestützte Konstruktion und Fertigung der Keramikimplantate.
Mit hochwertigen Messgeräten und exakt aufeinander abgestimmten Komponenten werden Stumpf- und Kiefersegmente, Nachbarzähne und Gebiss exakt erfasst. So können hochwertige Vollkeramikimplantate hergestellt werden, die hinsichtlich Biokompatibilität und Passgenauigkeit keine Wünsche offen lassen.
Moderne Keramikimplantate bestehen aus Zirkoniumoxid, auch Zirkoniumdioxid genannt – einer hochwertigen keramischen Verbindung. Zirkonoxid ist ein metallfreier Werkstoff, der sich durch eine hohe Biokompatibilität auszeichnet und daher keine Metallallergien auslösen kann. Insbesondere bei bestehenden Allergien gegen Titan, Zinn oder Nickel stellt das Material eine sinnvolle Alternative dar.
In der Vergangenheit konnten Zahnimplantate aus Keramik trotz ihrer ästhetischen und biokompatiblen Vorzüge in puncto Stabilität nur schwer mit Titan konkurrieren. Die Lösung waren lange teilkeramische Zahnimplantate, bei denen die Krone aus Keramik, die im Zahnfleisch verschraubte Basis aber noch aus Metall bestand. Dank modernster Zirkonoxid-Technologie hat sich das geändert. In unserem Meisterbetrieb Zahntechnik Köln fertigen wir heute vollkeramische Zahnimplantate, die mit hervorragender Biokompatibilität, erstaunlicher Stabilität und natürlicher Ästhetik punkten.
Zirkonoxid ist extrem bruchfest und wirkt isolierend gegenüber Bakterien. Die Bakterienflora, die beispielsweise Entzündungen des Zahnhalteapparates auslöst, hat daher kaum eine Chance, sich auf dem Material anzusiedeln. Untersuchungen haben zudem gezeigt, dass das Zahnfleisch im Kontakt mit dem Keramikimplantat Wachstumstendenzen und eine biologische Integration zeigt, die sogar besser ist als bei natürlichen Zähnen. Diese Eigenschaften ermöglichen es, das Weichgewebe so zu formen, dass das Keramikimplantat von natürlichen Zähnen kaum oder gar nicht zu unterscheiden ist.
Aus technischer Sicht haben sich Titanimplantate im Laufe der Jahre zu einem nahezu perfekten Zahnersatz entwickelt. Reines Titan weist ein hervorragendes Korrosionsverhalten auf und ist daher im Vergleich zu anderen Metallen sehr biokompatibel. Titan verwächst schnell und fest mit dem Knochen, ist mechanisch extrem belastbar und relativ preiswert. Einziger Nachteil: In seltenen Fällen reagieren Patienten allergisch auf Titan, vor allem durch Verunreinigungen mit anderen Metallpartikeln wie Nickel oder Zinn.
Ein Risiko, das Keramikimplantate vermeiden. Das Material ist gut erforscht und wurde getestet und für sehr gut verträglich befunden. Es enthält weder Amalgam noch Quecksilber, eine Keramikallergie ist bisher nicht bekannt.
Zahnimplantate aus Vollkeramik werden wie herkömmliche Titanimplantate als künstliche Zahnwurzel in den Kiefer eingesetzt und nach der Einheilphase mit einem prothetischen Aufbau versorgt. Da sie ausschließlich aus weißer Vollkeramik bestehen, erfüllen sie auch hohe ästhetische Ansprüche. Keramikimplantate sind der natürlichen Zahnsubstanz sehr ähnlich und ermöglichen so eine naturgetreue Nachbildung.
Das verwendete Material ist Zirkonoxid, ein keramischer Werkstoff, der industriell in Blöcken vorgefertigt wird, um vollkeramischen Zahnersatz herzustellen.
Zirkonoxid ist ein hochwertiger und außergewöhnlicher Werkstoff. Mehrjährige klinische Studien an der ETH Zürich belegen, dass keine andere heute bekannte hochfeste Strukturkeramik derartige Materialeigenschaften aufweist.
Die Kosten für Zahnersatz hängen von mehreren Faktoren ab. Zum einen davon, um welche Art von Zahnersatz es sich handelt. Denn ob Krone, Brücke, Implantat oder Prothese – jede Art hat ihren eigenen Preis. Zum anderen hängen die Kosten vom Aufwand der Behandlung ab, wie zum Beispiel der Anzahl der zu ersetzenden Zähne oder den ästhetischen Ansprüchen an den Zahnersatz.
Möchten Sie tiefer in das Thema eintauchen? Vielleicht finden Sie hier einen interessanten Beitrag:
Die Behandlung und weitere Informationen
Vollkeramik ist das Material der Wahl, wenn es um einen hochwertigen, bioverträglichen Zahnersatz mit langer Haltbarkeit geht. Kronen und Brücken aus Zirkonoxid-Keramik kommen realer Zahnsubstanz sowohl optisch als auch funktionell so nah, dass sie mit dem bloßen Auge von echten Zähnen so gut wie gar nicht zu unterscheiden sind. Das liegt unter anderem an der Lichtdurchlässigkeit des keramischen Werkstoffs, die es erlaubt das Material sehr differenziert mit Pigmenten einzufärben. Dies ermöglicht es uns ein harmonisches Erscheinungsbild zu erreichen.
Praxis Innenstadt
Praxis Lindenthal