Termin
online buchen
Doctolib

I love my Dentist

Veneers Köln

Für ästhetische Ergebnisse bei Zahnlücken oder dunklen Zähnen.
In der Kölner Innenstadt und in Köln Lindenthal.

Praxis Innenstadt

Praxis Lindenthal

Für ein strahlendes Lächeln

Veneers - Was ist das?

Veneers sind dünne Keramikschalen, die auf die eigenen Zähne aufgeklebt werden. Sie werden für jeden Patienten individuell im Labor hergestellt. Durch die Keramikschalen, die aussehen wie echte Zähne, wird eine Verschönerung des Gebisses beziehungsweise einzelner Zähne erreicht. 

Zahn-Veneers werden auch als Verblendschalen, Keramikschalen oder Hollywood Smile bezeichnet. Man erhält dadurch gesund aussehende, weiße Zähne – und das ganz ohne Implantate. Die Methode gehört zu den schonendsten zahnmedizinischen Verfahren und erzielt gleichzeitig verblüffende Ergebnisse. Der Klebstoff, mit dem die Veneers auf die Zähne aufgeklebt werden, hält dauerhaft. Der Vorgang kann also nicht wieder rückgängig gemacht werden. Veneers sind sehr langlebig und halten bei normaler Belastung mindestens zehn Jahre.

Verschiedene Methoden

Veneer-Arten

Welche Veneer-Arten wann angebracht werden, ist von verschiedenen Kriterien abhängig. Die Absprache erfolgt dabei immer mit dem Zahnarzt oder der Zahnärztin Ihres Vertrauens. Grundsätzlich unterscheidet man vier Arten von Veneers:

Non-Prep-Veneers/ dünne Veneers

  • bis zu 0,3 mm Stärke
  • geringer bis fast kein Zahnsubstanz-Abtrag nötig

Konventionelle Veneers/ normale Veneers

  • bis zu 1 mm Stärke
  • Abtrag von Zahnsubstanz notwendig

Composite-Veneers

  • provisorische Veneers
  • aus Kunststoff

Sofort-Veneers/ Veneers-to-go

  • Veneers aus Kunststoff
  • werden in einer Sitzung angebracht
Verschiedene Methoden

Für wen sind Veneers geeignet?

Veneers eignen sich für Patienten mit optischen Schäden der Frontzähne oder leichten Fehlstellungen. Sie werden auch bei unschönen Verfärbungen oder Zahnschäden (z. B. durch Karies) eingesetzt. Auch wenn ein Teil der Frontzähne abgebrochen oder der Zahnschmelz unterentwickelt bzw. im Abbau ist, wird auf Veneers zurückgegriffen. Außerdem werden sie bei unregelmäßigen Zahnoberflächen und kleinen Zahnlücken eingesetzt. Grundsätzlich können Veneers bei jedem Menschen eingesetzt werden, unabhängig von Alter und Zahnsubstanz.

Es gibt jedoch einige Ausschlusskriterien, bei denen auf Veneers verzichtet werden sollte. Patienten, die häufig mit den Zähnen knirschen oder auf Gegenständen kauen, beispielsweise auf Stiften können sich die Veneers stark abnutzen. Auch bei großen Schäden an den Zähnen sollte auf Veneers verzichtet und lieber auf Keramikkronen zurückgegriffen werden. Außerdem kann das Tragen von Veneers bei ungeschützten Kampf- oder Ballsportarten gefährlich sein, da die Gefahr von Zahnverletzungen zu groß ist.

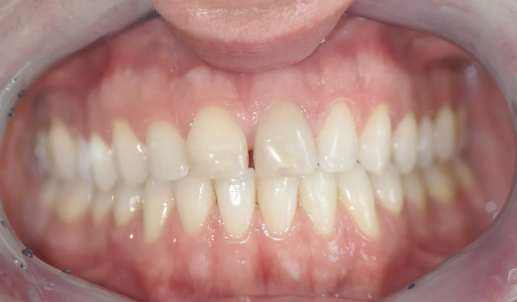
Nahaufnahme von Zähnen, welche uneben und leicht schief sind
Vor der Behandlung mit Veneers
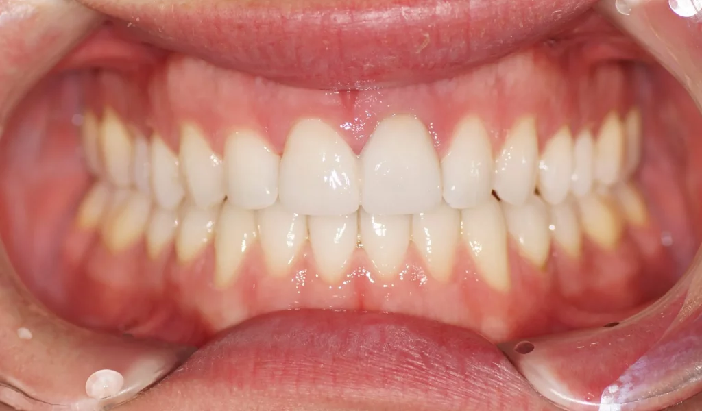
Nahaufnahme von Zähnen, welche durch Invisalign wieder gerade sind
Nach der Behandlung mit Veneers
Sie interessieren sich für Veneers in Köln?
Unsere Experten beraten Sie gern!
Veneers im Alltag

Was muss bei Veneers beachtet werden?

Grundsätzlich bemerken Sie Ihre Veneers gar nicht. Sie halten fest am Zahn und passen sich ihm perfekt an. Dadurch ist ein Veneer auch allen alltäglichen Belastungen gewachsen. Allerdings können auch Veneers – genauso wie ein natürlicher Zahn – beschädigt werden, zum Beispiel durch den Biss auf etwas Hartes oder bei Stößen auf den Zahn, zum Beispiel durch das Ausüben einer Kampfsportart. Deshalb sollte man darauf am besten verzichten. Um auf Nummer sicher zu gehen, suchen Sie jedes halbe Jahr den Zahnarzt Ihres Vertrauens für Kontrolluntersuchungen auf. Außerdem sollten Sie darauf achten, Ihre Zähne und Veneers gründlich – also mindestens zweimal am Tag – zu säubern und Essensreste zu entfernen. So minimieren Sie das Risiko von Karies.

Verschiedene Methoden

Was kosten Veneers?

Wie viel die Anbringung der Veneers am Ende kostet, hängt ganz vom individuellen Fall ab. Je nachdem, welche Art von Verblendschale angebracht wird, welches Ausmaß die Zahndefekte und welche persönlichen Wünsche Sie haben, variiert dabei der Preis enorm. Kosten für normale Veneers fangen ab ein paar hundert Euro an, die Non-Prep-Variante ist durch die aufwendige Herstellung und Anbringung noch einmal teurer. Insgesamt kann sich der Preis auch im vierstelligen Bereich bewegen.

Da Veneers zur Ästhetischen Zahnmedizin gehören, werden die Kosten meist nicht von einer Krankenkasse übernommen. Von einer Zahnzusatzversicherung werden die Kosten nur dann getragen, wenn die Behandlung notwendig ist. Also wenn zum Beispiel die Zähne so schief stehen, dass die Funktionalität des Gebisses beeinträchtigt wird oder wenn ein großes Stück des vorderen Zahns abgebrochen ist.

Was spricht dafür?

Die Vorteile von Veneers

Veneers sind schmutzabweisend

Die Keramikschalen sind schmutzabweisend, das heißt Plaque und Zahnstein haften nicht an den Oberflächen. Dadurch bleiben die Zähne weiß und strahlen auch nach mehreren Jahren noch wie am ersten Tag. Außerdem ist dadurch kein Bleaching nötig.

Einfache Begradigung schiefer Zähne

Die Zähne sind nicht nur weißer als vorher, schiefe Zähne können durch Veneers außerdem auch ohne großen Aufwand begradigt werden. So kommen Sie ganz einfach zu einem natürlichen und strahlend schönen Lächeln.

Natürliche Überdeckung optischer Schäden

Auch bei fehlendem Zahnschmelz sehen Veneers ästhetisch sehr ansprechend aus, da sie optische Schäden einfach überdecken. Durch die individuell an die Zähne angepasste Farbe strahlen sie Natürlichkeit und Lebendigkeit aus.

Biologisch gut verträglich

Veneers bestehen aus Keramik beziehungsweise einer Keramik-Mischung und sind dadurch biologisch sehr gut verträglich. Hinzu kommt, dass es kaum Nebenwirkungen gibt. Im Gegensatz zu Implantaten etc. wird dabei weder der Zahn noch das Zahnfleisch verletzt.

Individuell und langlebig

Die Keramikschalen sind sehr langlebig. Farbe und Form bleiben dauerhaft erhalten, so dass sie mindestens zehn Jahre lang nicht gewechselt werden müssen. Außerdem ist es sehr unwahrscheinlich, dass sie sich lösen oder brechen. Die Form und Farbe der Veneers ist im Vorfeld individuell bestimmbar beziehungsweise wird individuell an die Mundhöhle und die Zähne angepasst. Dadurch erhält man ein natürliches Lächeln.

Schnelle Behandlung​

Veneers anzubringen, dauert nicht lange. Bei der Sofort-Variante werden die Verblendschalen sogar innerhalb einer Sitzung angebracht. Man bekommt also eine schnelle Behandlung und eine optisch ansprechende Wirkung.

Ihre Ansprechpartner

Die Spezialisten für Veneers Köln

Die Zahnärzte Dr. Alexander Langenbach und Dr. Thomas Lang sind in unseren Zahnarztpraxen in der Kölner Innenstadt und in Köln Lindenthal Ihre Ansprechpartner für Veneers.

Die beiden Zahnärzte der Praxis in Köln Lindenthal Dr. Alexander Langenbach und Dr. Thomas Lang

Patientenstimmen

Top Bewertungen

Wissenswertes

Möchten Sie tiefer in das Thema eintauchen? Vielleicht finden Sie hier einen interessanten Beitrag: