I love my Dentist
Wir schenken Ihnen Ihr Hollywood Lächeln. Von Zahnaufhellung über Veneers und Vollkeramik bis zu durchsichtigen Zahnspangen Invisalign.
In der Kölner Innenstadt und in Köln Lindenthal.
Praxis Innenstadt
Praxis Lindenthal
Nichts wirkt attraktiver als ein strahlendes und weißes Lächeln. Modenerste Behandlungsoptionen im Bereich der ästhetischen Zahnmedizin machen es möglich. Wir bieten Ihnen für jedes Alter seit vielen Jahren die dafür erforderliche hochwertig und individuell ästhetische Zahnmedizin mit hauseigenem Dentallabor an.
Mit Bleaching, Veneers, Invisalign und Ästhetischer Vollkeramik verleihen Sie Ihren Zähnen neuen Glanz, optimieren deren Aussehen in Farbe, Form und Stellung. Lassen Sie Ihre Zähne aufhellen, Zahnzwischenräume füllen und trauen Sie sich wieder ungeniert Zähne zu zeigen.
In unserer Praxis:
Ein Veneer ist eine etwa 0,5 – 1 mm dünne Keramikschale, die dauerhaft auf einen nur minimal geschliffenen Zahn geklebt wird. Dazu muss nur eine sehr geringe Schicht Zahnschmelz abgetragen werden.


Wünschen auch Sie sich strahlende, weiße Zähne? Heute gibt es moderne Methoden zur Zahnaufhellung, die Ihnen Ihr selbstbewusstes strahlendes Lachen zurückgeben ohne Ihre Zähne zu schädigen.
Abgebrochene Zähne können nicht nur die Ästhetik des Gebisses beeinträchtigen, sondern auch Schmerzen und Folgeschäden verursachen. Deshalb ist es wichtig, schnell zu handeln und den abgebrochenen Zahn zu reparieren.


Durch Zahnkronen lassen sich dunkle oder verfärbte Zähne schnell und effizient in einen ästhetischen Zustand zurück versetzen.
Viele unserer erwachsenen Patienten wünschen sich gerade Zähne und die Korrektur ihre Zahnlücken.
Erfahren Sie hier mehr über Invisalign und die modernen Möglichkeiten:

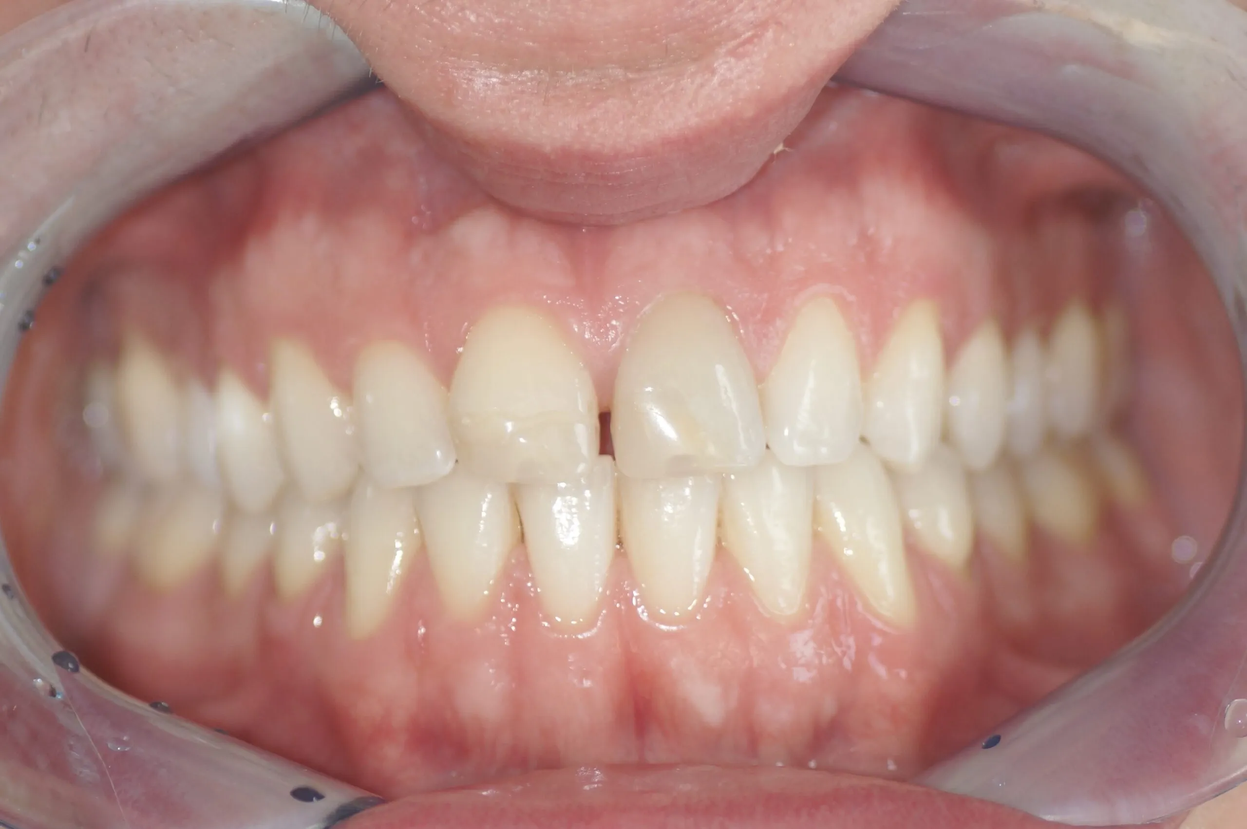
Des Öfteren liegt an einzelnen Zähnen der Zahnhals (sogenannte Rezessionen) zu weit frei, wodurch Patienten einerseits eine erhöhte warm/kalt – Empfindlichkeit beschreiben und sich andererseits an der eingeschränkten Ästhetik stören.
Hier sehen Sie den Vergleich 2 Wochen nach der Zahnfleischbehandlung.
Die Zahnärzte Dr. Alexander Langenbach und Dr. Thomas Lang unserer Praxen in der Kölner Innenstadt und Köln Lindenthal Ihre Ansprechpartner, um zahnärztliche Leistungen rund um die Zahnästhetik geht.
Patientenstimmen
Hier finden Sie Antworten auf viele Fragen zum Thema ästhetische Zahnmedizin.
Sollte Ihre Frage nicht dabei sein, nehmen Sie gerne Kontakt zu uns auf.
Die Verfärbungen Ihrer Zähne können unterschiedliche Ursachen haben. Nikotin, Koffein, das in Wein enthaltene Tannin oder auch Medikamente und Spurenelemente lagern sich auf der Zahnoberfläche ab, dringen nach und nach in den Zahnschmelz ein und sorgen für unästhetische Flecken oder Verfärbungen Ihrer Zähne. Dabei handelt es sich zudem um einen natürlichen Prozess, der auch durch beste Zahnpflege nicht aufgehalten werden kann; auch das Ergebnis kann durch regelmäßige häusliche Zahnreinigung nicht umfassend beseitigt werden.
Drogerieprodukte (Bleaching Produkte) zur Zahnaufhellung erzielen meist nur eine geringe Wirkung. Zudem schaden ungenaue Dosierungen Zahn wie auch Zahnfleisch. Das Zähne aufhellen sollte deshalb nur unter zahnärztlicher Kontrolle stattfinden! Ihr Zahnarzt Dr. Langenbach in Köln nimmt sich Zeit, Sie individuell zum Thema „Zähne bleichen“ zu beraten und sorgt mittels modernstem Zahnaufhellungsverfahren für strahlend weiße Zähne wie neu.
Es gibt zahlreiche Gründe, die über die Zeit zu Verfärbungen der Zähne führen. Man unterscheidet zwischen extrinsischen und intrinsischen Verfärbungen, weshalb die Zahnmedizinische Beratung vorab eine wichtige Rolle spielt:
Die besonderen Reinigungsmaßnahmen (die bei der Zahnaufhellung „Bleaching“ eingesetzt werden) und deren Ausführung erläutern Ihnen gerne unsere speziell ausgebildeten Dentalhygienikerinnen unseres Prophylaxeteams. Nicht umsonst sind wir Ihr Team für Bleaching Köln.
st Bleaching gesund oder ungesund?
Wie bei jedem Medikament und jeder Behandlung gibt es Nebenwirkungen. Dieses in der Literatur viel diskutierte Thema ist bei jedem Patienten unterschiedlich zu betrachten und sollte deshalb vom Zahnarzt vorher individuell kontrolliert werden. Eine Irritation der Zahnverhältnisse kann zwar grundsätzlich niemals ausgeschlossen werden, aber das bewährte Verfahen kann grundsätzlich durch internationale Dokumentation zahlenmäßig nahezu unbegrenzter Bleachingbehandlungen, als akzeptabel bewertet werden.
Sofern Ihre Zähne und Ihr Zahnfleisch sich in gesundem Zustand befinden, stellt das professionelle Zähne bleichen kein Risiko für Ihre Gesundheit dar. In unmittelbarer Zeit nach dem Aufhellungsprozess kann es jedoch zu einer erhöhten Empfindlichkeit Ihrer Zahnhälse kommen, die sich jedoch durch Fluoridpräparate beseitigen lässt. Auch der Zahnschmelz kann erweichen.
Patienten mit angegriffenem Zahnschmelz sollten daher andere Möglichkeiten der Ästhetischen Zahnbehandlung in Betracht ziehen. Gerne beraten wir Sie vorab persönlich, ob eine Zahnaufhellung auch für Ihre Zähne in Frage kommt.
1. Sensibilität
Zu den häufigsten Nebenwirkungen gehört die Überempfindlichkeit der Zähne auf Wärme und Kälte.
Nach ein paar Tagen und mit Fluoridpasten sollte die Überempfindlichkeit jedoch ohne Nachfolgen komplett verschwunden sein. Grundsätzlich ist ein Verfahren mit niedriger Konzentration und niedriger Einwirkzeit in Relevanz zum Behandlungsergebnis zu bevorzugen zu sein.
2. Erwärmung des Zahnnervs
Die In – Office – Bleaching Methode (3) in der zahnärztlichen Praxis unter Verwendung einer Licht-Lampe, ist zwar sehr schnell und effektiv, sie wird aber aufgrund von parodontalen und erwärmten Zahnnerv – Irritationen (5-8°C) nur bedingt empfohlen.
Diese Methode wenden wir aus diesen Gründen momentan auch nur deutlich eingeschränkt in unserer Zahnarztpraxis Dr. Langenbach bei spezieller Indikation an.
3. Erneuerung von Kunststofffüllungen
Aufgrund einer verringerten Haftkraft von Kunststofffüllungen an gebleichten Zahnoberflächen direkt nach Applikation des Bleichmittels wird empfohlen, die Versorgung mit definitiven Kunststofffüllungen erst 2-3 Wochen nach Abschluss der Bleichbehandlung vorzunehmen.
4. Die eigenverantwortliche Bleichtherapie mit freiverkäuflichen Bleichmitteln wird von uns nicht grundsätzlich abgelehnt. Aber seit 30. August 2000 sind Zahnaufhellungspräparate dem Medizinproduktegesetz einzustufen. Die auf dem Markt zugelassenen Produkte dürfen nur über reduzierte Wirksamkeit verfügen, da sie andernfalls anstelle von Kosmetika als Medizinprodukte zu bewerten sind. Für Kosmetika gilt nicht die Medizinprodukteverordnung. Produkte auf dem freien Markt und bei Selbstanwendung sind grundsätzlich nicht der Verantwortung zahnärztlicher Betreuung zuzusprechen.
Das Kosten-Nutzen-Verhältnis und ihre Effektivität der auf dem Markt befindlichen frei verkäuflichen Mittel wird von uns als kritisch bewertet.
Die Bleachinggels sind Oxidationsmittel, die durch die Oberfläche des Zahnes in tiefere Schichten diffundieren, dort durch den Oxidationsprozess alte Farbstoffe lösen, die dann über den internen Blutkreislauf des Zahnes abtransportiert werden.
Der Vorgang ist mit dem Blondieren als Haaraufhellung beim Friseur in Vergleich zu bringen.
Grundsätzlich beteiligen sich Krankenkassen nicht an den Kosten einer Bleaching-Therapie, da diese Behandlungsform als medizinisch nicht notwendig vorab festgelegt wurde.
Bei gesetzlichen Krankenkassen ist jede Kostenübernahme ausgeschlossen.
Bei Privatversicherung besteht die Möglichkeit der Kostenübernahme, wenn dadurch der Krankenkasse kostenintensivere restaurative Maßnahmen erspart bleiben. Dies setzt aber eine ausführliche schriftliche Dokumentation durch die Zahnarztpraxis voraus. Für eine individuelle Bewertung der Möglichkeiten ist deshalb eine persönliche Untersuchung in der Zahnarztpraxis Dr. Langenbach zur Bewertung der Optionen unverzichtbar.
Vor der Zahnaufhellung: Zahn Bleaching ist nicht unbedingt für jeden Patienten geeignet. Gerne berät Zahnarzt Dr. Langenbach Sie persönlich, ob eine Zahnaufhellung für Sie in Frage kommt. Vor dem Aufhellungsprozess sollten Ihre Zahnoberflächen gründlich durch eine professionelle Zahnreinigung gesäubert werden, damit der Grad der Verfärbung festgestellt werden kann und die Stärke der Bleichung individuell für Ihre Zähne ausgesucht werden kann. Ihr Zahnfleisch wie auch Ihre Zähne sollten sich in gesundem Zustand befinden. Karies oder defekte Füllungen können zum unkontrollierten Eindringen des Bleichmittels in den Zahn und damit einhergehenden Schäden führen. Bitte beachten Sie, dass wir nur Ihre natürlichen Zähne aufhellen können. Füllungen und Implantate werden beim Zähne bleichen nicht mitgebleicht, und sollten für optimale Ästhetik erneuert werden. Auch sollte Ihnen bewusst sein, dass es sich um eine rein ästhetische Zahnbehandlung handelt; die Kosten für die Zahnaufhellung werden daher nicht von den gesetzlichen Krankenkassen übernommen.
Nach der Zahnaufhellung: Direkt nach der Aufhellung empfehlen wir eine „weiße Diät“. Für ein optimales Ergebnis sollten Sie 24 Stunden lang nach der Behandlung die für Verfärbungen verantwortlichen Genussmittel wie Kaffee, Tee, Wein und Tabak meiden.
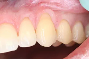
Zu einem strahlenden Lächeln führen nicht nur gerade, schöne Zähne und ein harmonisches Gebiss- auch das Zahnfleisch spielt eine zentrale Rolle. Die Zahnfleischbehandlung ist die Basis für optimale Verhältnisse im Mund.
Des Öfteren liegt an einzelnen Zähnen der Zahnhals (sogenannte Rezessionen) zu weit frei, wodurch Patienten einerseits eine erhöhte warm/kalt – Empfindlichkeit beschreiben und sich andererseits an der eingeschränkten Ästhetik stören.
Suchen Sie Ihren Zahnarzt für äshtetische Zahnmedizin in Köln auf. Wir gestalten Ihr Zahnfleisch mithilfe von mikrochirurgischen plastischen Korrekturen neu und stellen so den gewünschten Verlauf wieder her.
Folgende Zahnfleischbehandlungen bieten wir in Köln an:
Veneers sind Keramikverblendschalen für die Zähne und werden vor allem dafür genutzt, um kleinere Zahnpartien oder ästhethische korrekturen Zahnschonend zu verbessern. Beispiele für den Einsatz sind abgebrochene Stücke eines Zahnes, Verfärbungen von Schneide- und Eckzähnen oder stark abgenutzte Zähne. Es gibt wesentliche Unterschiede zwischen einer Krone und einem Veneer. Veneers verbessern nur die Ästhetik und werden von den Krankenkassen nicht übernommen. Zahnkronen ummanteln den ganzen Zahn und sind oft bei frakturieren Füllungen notwendig um den Zahn zu stabilisieren. Von Außen sehen beide gleich aus. Veneers haben den Vorteil, dass es gesunde Zahnsubstanz schont, da nur die Außenflächen des Zahnes bearbeitet werden.
Möchten Sie tiefer in das Thema eintauchen? Vielleicht finden Sie hier einen interessanten Beitrag: